Zobna protetika
Zobna protetika je veja zobozdravstva, ki se osredotoča na nadomestitev izgubljenih ali poškodovanih zob in zobnih delov, izboljšanje funkcije žvečenja ter povrnitev estetike zob.
S sodobnimi biokompatibilnimi materiali in napredno tehnologijo protetični izdelki natančno posnemajo videz, občutek in funkcijo naravnih zob.
Za doseganje visoke kakovosti pri izdelavi protetike je ključnega pomena individualiziran pristop, temeljit klinični pregled, natančna analiza rentgenskih posnetkov ter premišljen načrt, ki bo zadovoljil tako estetske kot funkcionalne zahteve pacienta.
Zakaj je zobna protetika pomembna?
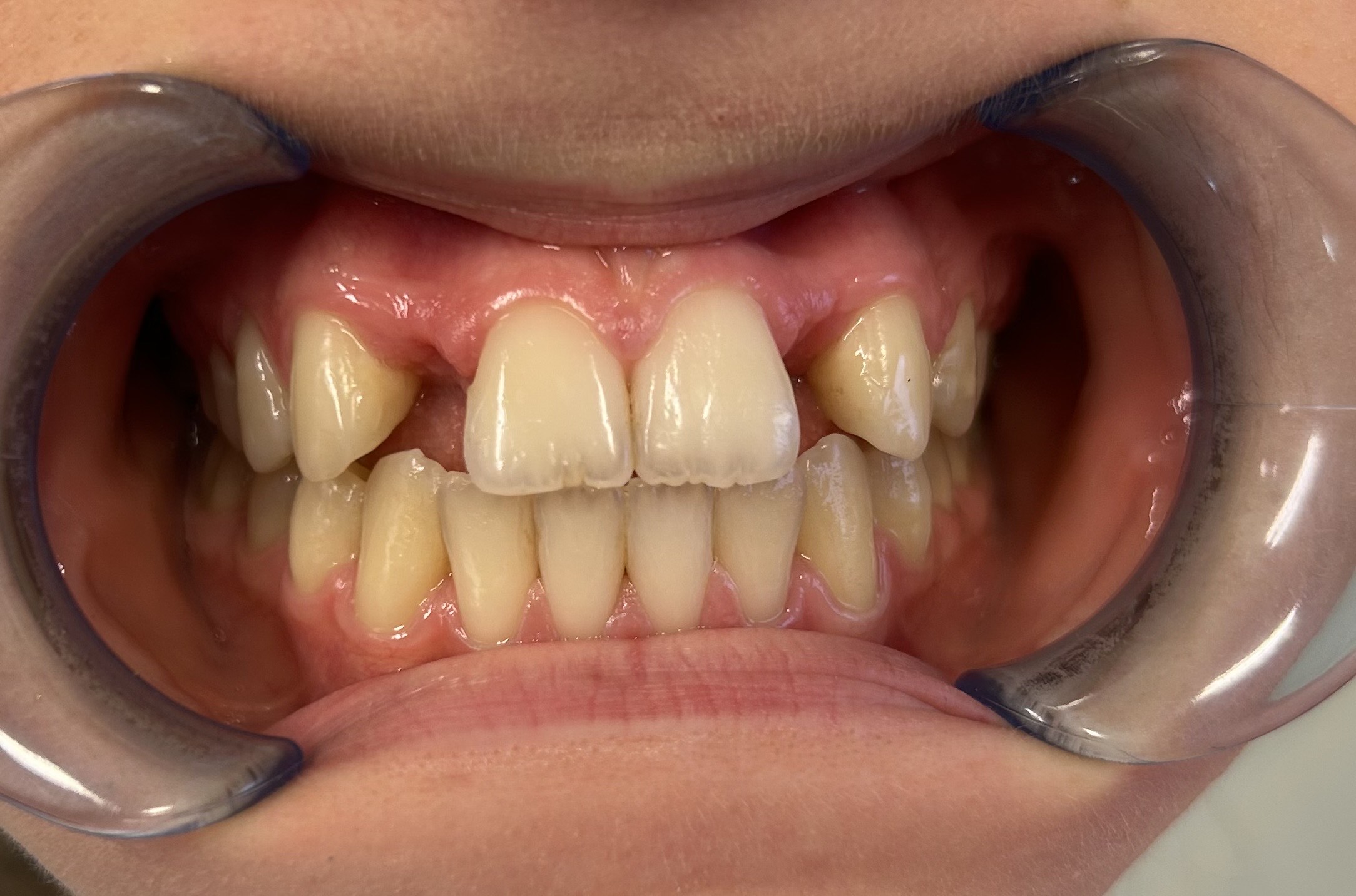
Izguba zob ima številne negativne posledice, ki segajo onkraj estetskih vidikov.
Manjkajoči zob lahko povzroči težave pri žvečenju, kar negativno vpliva na prebavo. Čeljustna kost se začne postopoma zmanjševati, spreminjajoč strukturo dlesni in obliko obraza. Prav tako lahko pride do premikanja preostalih zob v nastale praznine, nepravilna postavitev zob pa oteži ustno higieno in poveča tveganje za zobno gnilobo ter vnetje dlesni.
Zato je priporočljivo poškodovane ali izgubljene zobe čim prej nadomestiti, da se preprečijo negativne posledice ter ohrani zdravje in funkcionalnost ustne votline.
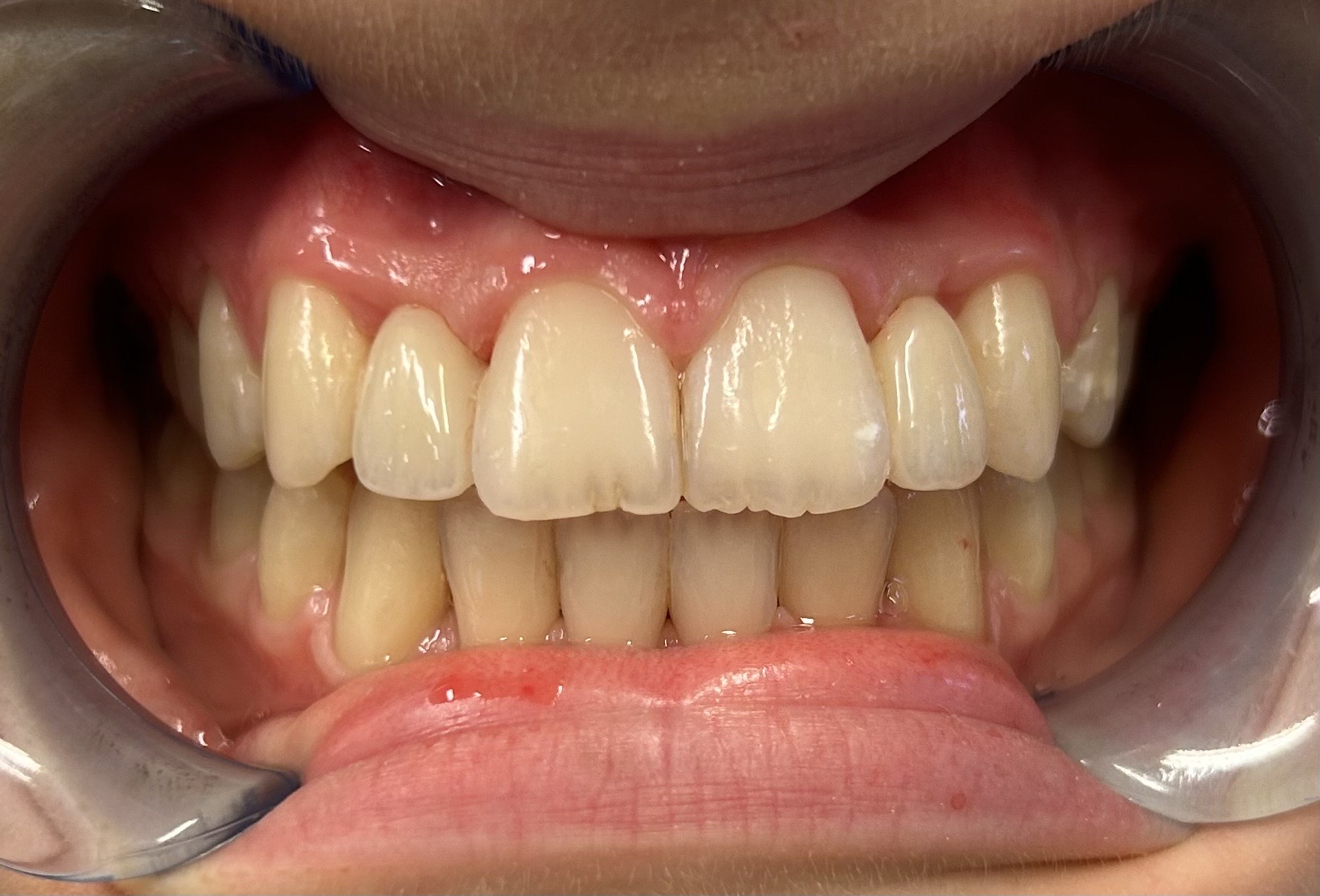
Kaj je fiksna zobna protetika?
Med fiksno zobno protetiko uvrščamo inlay in onlay delne prevleke, zobne krone, zobne luske, zobne mostičke ter zobne krone ali mostičke na implantatu ozirom zobnem vsadku.
Gre za zobne nadomestke, ki jih ni mogoče odstraniti, temveč so trajno pritrjeni na preostale zdrave zobe ali zobne implantante s pomočjo cementiranja. Taka protetika popolnoma prevzame mesto in funkcijo manjkajočih naravnih zob.
Kaj je snemna zobna protetika?
Med snemno zobno protetiko spadajo delne proteze, totalne proteze in proteze na implantatih oziroma zobnih vsadkih.
Ta oblika protetike ni trajno nameščena, temveč jo lahko pacient sam kadarkoli odstrani iz ust in nato ponovno namesti. Prednost snemnih zobnih nadomestkov je večja prilagodljivost ter enostavnejše vzdrževanje oziroma čiščenje.
Zobna protetika se izdeluje iz različnih materialov, ki se razlikujejo po ceni, kakovosti in estetiki. Pri izbiri upoštevamo tako vrsto protetike kot individualne potrebe in želje pacienta.
Naročite se na posvet!
Pišite nam na info@topdental.si, nas pokličite na +386 30 645 590 ali izpolnite spodnji obrazec.
Čudovit nasmeh je le še korak stran.
Kdo smo?
Top-Dental je sodobna zobozdravstvena ordinacija, ki ponuja številne zobozdravstvene storitve - od estetskih posegov, preventive, zobne protetike do oralne kirurgije in implantologije.
K zobozdravstvenim storitvam smo dodali še storitve estetske medicine, ki zajemajo nekirurške lepotne posege, s katerimi poskrbimo za estetiko vašega celotnega obraza, ne le nasmeha.
Vodja ordinacije je Metka Kelbič, dr. dent. med.
